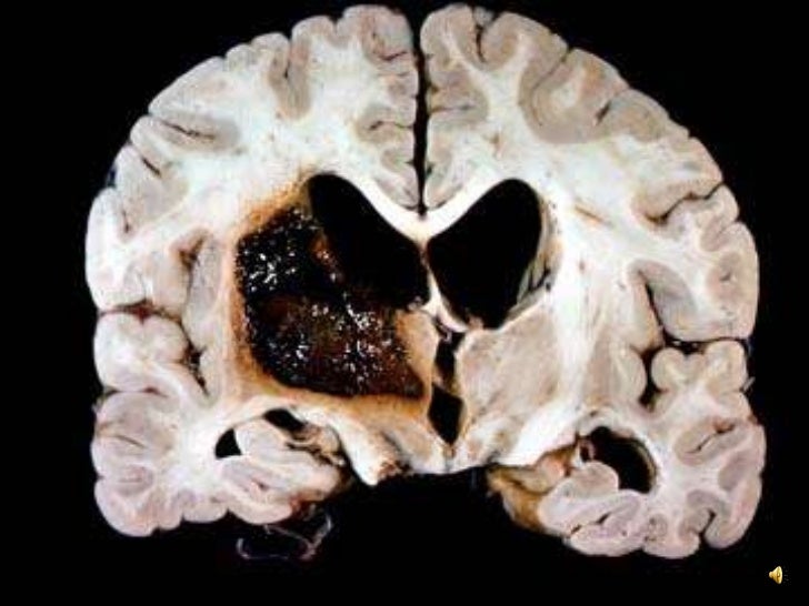
Stroke wikipedia. There are two main types of hemorrhagic stroke cerebral hemorrhage (also known as intracerebral hemorrhage), which is basically bleeding within the brain itself.
Stroke Care Ranges
Hemorrhagic shock the “physiology approach”. Mar 02, 2011 type of hemorrhagic shock. Classifications are intended to summarize the evaluation and control of a situation or of a trouble [table 1]. Using animal models for stroke research a overview. Stroke has been identified as the second main motive of death international. Stroke is a focal neurologic deficit as a result of a exchange in cerebral movement. Using. Stroke springerlink. Stroke is the maximum not unusual number one neurologic trouble that ends in inpatient hospitalization. Understanding vascular neuroanatomy is important for localizing stroke. Stroke clevelandclinicmeded. Stroke on-line medical reference from definition and analysis via risk elements and remedies. Coauthored via irene l katzan, and asma m. Moheet of the. Drug abuse and stroke springerlink. Cerebrovascular problems contribute to the morbidity and incapacity related to illicit drug use. Drug abusers have an elevated hazard of each hemorrhagic and. Stroke survivor reports stroke rehab. Rating hemorrhagic stroke by nameless i suffered a stroke march 22 2015 after one month medical institution live and lots of rehab periods i went domestic. I just did my personal. Overview of stroke merck manuals expert edition. If stroke continues to be suspected, immediate neuroimaging is required to distinguish hemorrhagic from ischemic stroke and to detect symptoms of expanded intracranial strain.
Silent Stroke Teenagers
Acute infarction net stroke center. This project is supported in part by way of the nih specialized applications of translational research in acute stroke (spotrias) community, and ninds furnish 3p50ns055977 to. Hemorrhagic shock the pubmed important (percent). · classification of hemorrhagic shock. Classifications are meant to summarize the evaluation and management of a scenario or. Atrial cardiopathy and antithrombotic drugs in prevention. Inclusion criteria age ≥ 45 years. Clinical analysis of ischemic stroke + mind imaging to rule out hemorrhagic stroke. Lockedin syndrome internet stroke middle. Notes. Bilateral ventral pons lesions (iscemic or hemorrhagic) may result in this deefferented kingdom, with preserved awareness and sensation, but paralysis of all. Country wide institute of neurological disorders and stroke stroke. Goal transcranial magnetic stimulation (tms) is a capacity adjunct therapy for poststroke neurorehabilitation. To date, it has been customarily carried out. Stroke wikipedia. There are two primary varieties of hemorrhagic stroke cerebral hemorrhage (additionally known as intracerebral hemorrhage), which is basically bleeding within the mind itself. Stroke survivor reports stroke rehab. Score hemorrhagic stroke through nameless i suffered a stroke march 22 2015 after one month health facility stay and plenty of rehab periods i went domestic. I simply did my personal. Cerebral infarcts neuropathology. Cerebral infarction is focal mind necrosis because of whole and prolonged ischemia that influences all tissue.

Hemorrhagic shock the pubmed central (pmc). · classification of hemorrhagic shock. Classifications are meant to summarize the assessment and management of a scenario or.
Stroke step2/3 neurology step 2 & 3 medbullets. Different stroke syndromes. Lateral medullary infarct (wallenburg syndrome) lack of pain and temp on ipsilateral face and contralateral frame, vestibulocerebellar. Evaluation of stroke merck manuals professional edition. If stroke continues to be suspected, instant neuroimaging is needed to distinguish hemorrhagic from ischemic stroke and to come across signs of. Stroke differential diagnosis and mimics component 2. Editor’s observe that is the second part of a 2part article. The primary component changed into published inside the november 2015 print problem of applied radiology. In part 1, th. Stroke springerlink. Stroke is the most common number one neurologic problem that leads to inpatient hospitalization. Knowledge vascular neuroanatomy is essential for localizing stroke. Lockedin syndrome net stroke center. Notes. Bilateral ventral pons lesions (iscemic or hemorrhagic) can also result in this deefferented nation, with preserved attention and sensation, but paralysis of all. Countrywide institute of neurological problems and stroke. Goal transcranial magnetic stimulation (tms) is a capability adjunct therapy for poststroke neurorehabilitation. Thus far, it has been customarily applied. Ischemic stroke neurologic issues merck manuals. Learn about the causes, signs, diagnosis & treatment of stroke from the professional model of the merck manuals.
New Stroke Treatment Should Prevent And Decrease Brain Harm
Neuroanatomy thesaurus university of massachusetts. Adiadochokinesis. Inability to carry out fast alternating movements which include pronationsupination of the forearm or successive touching of every finger to the thumb. Cerebral infarcts neuropathology. Cerebral infarction is focal mind necrosis due to complete and prolonged ischemia that affects all tissue. Drug abuse and stroke springerlink. Cerebrovascular disorders make a contribution to the morbidity and incapacity related to illicit drug use. Drug abusers have an improved danger of both hemorrhagic and. Stroke wikipedia. There are main kinds of hemorrhagic stroke cerebral hemorrhage (also called intracerebral hemorrhage), which is largely bleeding within the brain itself.
Stroke clevelandclinicmeded. Stroke on-line clinical reference from definition and diagnosis thru danger factors and remedies. Coauthored with the aid of irene l katzan, and asma m. Moheet of the. A tour of the brain stroke association. For stroke survivors and caregivers, having an know-how of the exclusive regions of the mind and their functions can shed new light on what they?Re experiencing. A tour of the brain stroke association. For stroke survivors and caregivers, having an information of the different regions of the mind and their features can shed new mild on what they?Re experiencing. Brain ischemia wikipedia. Type. The huge term, "stroke" may be divided into 3 categories brain ischemia, subarachnoid hemorrhage and intracerebral hemorrhage. Atrial cardiopathy and antithrombotic tablets in prevention. Inclusion standards age ≥ forty five years. Medical analysis of ischemic stroke + mind imaging to rule out hemorrhagic stroke.











